Αλέξης Μπακόπουλος

Περιοδοντολόγος - Εμφυτευματολόγος

Ειδικευμένος στο University of Minnesota, ΗΠΑ
Διπλωματούχος του American Board of Periodontology





Αγίας Σοφίας 32
Θεσσαλονίκη 546 22
+30.2310.262.474
albako@otenet.gr

Ουλικό χαμόγελο - Ουλοπλαστική, Ουλεκτομή


Ποιο είναι το ιδανικό χαμόγελο

Ένα όμορφο χαμόγελο εξαρτάται αρκετά από την εικόνα των ούλων. Είναι σημαντικό να υπάρχει συμμετρία στη θέση των ούλων και τα ούλα να μην υπερκαλύπτουν τα δόντια. Ιδανικά θα θέλαμε να εμφανίζονται 2-3 χιλιοστά ούλων όταν χαμογελάμε.


Ασυμμετρία των ούλων και "ουλικό χαμόγελο"

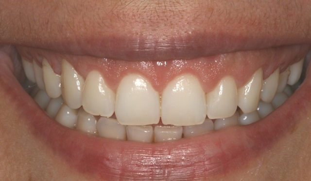
Εικόνα μετά από ουλοπλαστική

Ποιοι παράγοντες επηρεάζουν το χαμόγελο

Υπάρχουν αρκετοί παράγοντες που επηρεάζουν το χαμόγελο. Όταν όμως υπάρχει υπερβολική εμφάνιση ούλων στο χαμόγελο ("ουλικό χαμόγελο") ένας από τους παράγοντες που το προκαλούν μπορεί να οφείλεται στη λανθασμένη θέση των ούλων σε σχέση με τα δόντια. Μια απλή παρατήρηση του σχήματος των δοντιών μπορεί να βοηθήσει στη διάγνωση: αν τα δόντια είναι μικρά και τετράγωνα, είναι πολύ πιθανό να υπάρχει περίσσεια ούλων που τα καλύπτει, οδηγώντας στην υπερβολική εμφάνιση ούλων στο χαμόγελο. Σε τέτοιες περιπτώσεις είναι δυνατό με μια απλή ουλοπλαστική επέμβαση να γίνει διόρθωση της θέσης των ούλων και να υπάρξει θεαματική βελτίωση στην εικόνα του χαμόγελου.

Ομοίως, σε περιπτώσεις ασυμμετρίας των ούλων, όπου κάποια δόντια εμφανίζονται μεγαλύτερα και άλλα μικρότερα, η ουλοπλαστική και ουλεκτομή μπορεί να ομορφύνει το χαμόγελο επαναφέροντας τα ούλα στις σωστές τους θέσεις.

"Ουλικό χαμόγελο" εξαιτίας υπερκάλυψης όλων των πάνω δοντιών από τα ούλα

Εικόνα μετά από ουλοπλαστική


2025 © Αλέξης Μπακόπουλος | Περιοδοντολόγος - Εμφυτευματολόγος. Powered by Ministry of Web.