Αλέξης Μπακόπουλος

Περιοδοντολόγος - Εμφυτευματολόγος

Ειδικευμένος στο University of Minnesota, ΗΠΑ
Διπλωματούχος του American Board of Periodontology





Αγίας Σοφίας 32
Θεσσαλονίκη 546 22
+30.2310.262.474
albako@otenet.gr

Υποχώρηση ούλων (Υφίζηση ούλων)


Τα ούλα σε φυσιολογικές συνθήκες καλύπτουν τη ρίζα των δοντιών και το οστό της γνάθου που στηρίζει τα δόντια. Όταν με μια ματιά στον καθρέφτη είναι ορατό μέρος της ρίζας του δοντιού (αλλάζει ο χρωματισμός του δοντιού προς το κιτρινωπό), τότε καλό είναι να γίνει μια επίσκεψη στον περιοδοντολόγο. Η υποχώρηση του ούλου μπορεί να οφείλεται σε διάφορους παράγοντες με αρκετά διαφορετική αντιμετώπιση ανάλογα με το αίτιο που την προκάλεσε.

Αιτιολογία της υποχώρησης των ούλων


  • Περιοδοντίτιδα. Η απώλεια του στηρικτικού οστού του δοντιού συνοδεύεται και από αντίστοιχη απώλεια ούλων και την εικόνα μεγάλων δοντιών. Απαιτείται οπωσδήποτε θεραπεία της περιοδοντίτιδας για να προληφθεί περαιτέρω απώλεια των στηρικτικών ιστών του δοντιού.

  • Τραυματισμός των ούλων με την οδοντόβουρτσα: σε περιπτώσεις που δεν υπάρχει περιοδοντίτιδα, η υποχώρηση των ούλων οφείλεται συχνά σε τραυματικό βούρτσισμα με έντονες κινήσεις και σκληρές οδοντόβουρτσες. Χαρακτηριστικό γνώρισμα είναι ότι υπάρχει ούλο ανάμεσα στα δόντια και η υποχώρηση αφορά κυρίως την μπροστινή πλευρά του δοντιού. Στην περίπτωση αυτή είναι δυνατή η κάλυψη της υποχώρησης των ούλων.

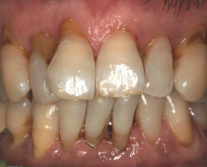
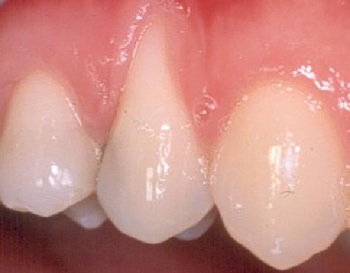
Υποχώρηση ούλου από περιοδοντίτιδα

Υποχώρηση ούλου που οφείλεται σε περιοδοντίτιδα

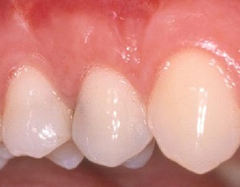
Υποχώρηση ούλου από τραυματικό βούρτσισμα

Υποχώρηση ούλου που οφείλεται σε τραυματικό βούρτσισμα

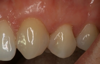
Κάλυψη της υποχώρησης ούλου με μόσχευμα ούλου

Κάλυψη της υποχώρησης ούλου που οφείλεται σε τραυματικό βούρτσισμα

  • Έκτοπη θέση του δοντιού: το δόντι δε βρίσκεται στη φυσιολογική του θέση σε σχέση με τα γειτονικά, και "προεξέχει" προς τα μπροστά. Σε αυτές τις περιπτώσεις συνιστάται ορθοδοντική μετακίνηση του δοντιού για να επανέλθει στη σωστή του θέση.

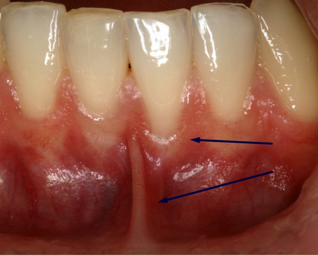
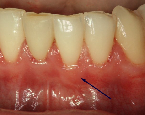
  • Υψηλή θέση χαλινού: ο χαλινός είναι μια ινώδης πρόσφυση που είναι δυνατό να βρίσκεται πολύ κοντά στο άκρο του ούλου και να το "τραβάει", οδηγώντας σε υποχώρηση του ούλου. Η αφαίρεση του χαλινού αρκεί για τη σταθεροποίηση της κατάστασης και βελτίωση της υποχώρησης του ούλου.

Υποχώρηση ούλου εξαιτίας της παρουσίας του χαλινού

Αφαίρεση του χαλινού και βελτίωση της υποχώρησης του ούλου

Πότε απαιτείται αντιμετώπιση της υποχώρησης των ούλων


Εφόσον η υφίζηση των ούλων οφείλεται σε περιοδοντίτιδα είναι απαραίτητη η άμεση θεραπεία της περιοδοντίτιδας. Στις άλλες περιπτώσεις πρέπει να σημειωθεί ότι μια ελαφριά υποχώρηση του ούλου δεν είναι επικίνδυνη για τη μακροβιότητα του δοντιού. Πρέπει ασφαλώς να υπάρχει τακτική παρακολούθηση της υφίζησης ώστε να διαγνωσθεί τυχόν επιδείνωση. Περιπτώσεις στις οποίες πρέπει να γίνει προσπάθεια κάλυψης της υφίζησης είναι οι εξής:

  • Αισθητική: Η υποχώρηση του ούλου είναι ορατή στο χαμόγελο και οδηγεί σε δόντι που φαίνεται αφύσικα μεγάλο.

  • Θερμική υπερευαισθησία: Η υποχώρηση του ούλου οδηγεί σε αποκάλυψη της ρίζας του δοντιού, η οποία είναι πολύ ευαίσθητη σε κρύα και ζεστά ερεθίσματα.

  • Επιβάρυνση στη στοματική υγιεινή: Το ούλο βρίσκεται σε σημείο που είναι πολύ δύσκολο να καθαριστεί επαρκώς με την οδοντοβουρτσα, γεγονός που οδηγεί σε μια παρατεταμένη κατάσταση συσσώρευσης πλάκας, πέτρας και παρουσία φλεγμονής.

  • Συνεχής επιδείνωση της υφίζησης: Η υποχώρηση του ούλου αυξάνεται με την πάροδο του χρόνου, κάτι που μπορεί να οδηγήσει σε κίνδυνο απώλειας του δοντιού.

Υποχώρηση ούλου από τραυματικό βούρτσισμα

Υποχώρηση ούλου που οφείλεται σε τραυματικό βούρτσισμα και εμφάνιση μεγάλου κυνόδοντα στο χαμόγελο

Κάλυψη της υποχώρησης ούλου με μόσχευμα ούλου

Κάλυψη της υποχώρησης ούλου με μόσχευμα ούλου και βελτίωση της αισθητικής του χαμόγελου

Αντιμετώπιση της υποχώρησης των ούλων - κάλυψη ρίζας


Το πρώτο και σημαντικότερο βήμα είναι η διάγνωση του προβλήματος και η αντιμετώπιση του αιτίου που προκάλεσε την υποχώρηση. Συχνά αυτό περιλαμβάνει την εκμάθηση σωστής τεχνικής βουρτσίσματος και τη χρήση μαλακής οδοντόβουρτσας. Εαν δε γίνει αλλαγή στην τεχνική βουρτσίσματος, οποιαδήποτε προσπάθεια κάλυψης της ρίζας δε θα έχει μακροχρόνια επιτυχία.

Εφόσον κριθεί απαραίτητη η κάλυψη της ρίζας, η κάλυψη γίνεται με μοσχεύματα ούλου που προέρχονται είτε από τον ίδιο άνθρωπο (λαμβάνεται συνήθως μόσχευμα από το εσωτερικό του ουρανίσκου), είτε από έτοιμα μοσχεύματα που κυκλοφορούν στο εμπόριο, συνθετικά ή ζωικής προέλευσης. Στόχος είναι η επαναφορά του ούλου στην αρχική μορφή του τόσο σε χρώμα όσο και σε αντοχή, αλλά και η αντιμετώπιση της θερμικής υπερευαισθησίας που οφείλεται στην αποκαλυμένη ρίζα. Πρόκειται για επέμβαση που γίνεται με τοπική αναισθησία και συνοδεύεται από μικρή ενόχληση τις επόμενες μέρες. Εφόσον επιλεχθεί η σωστή τεχνική και υπάρχει καλή συνεργασία ιατρού και ασθενή, οι επεμβάσεις αυτές έχουν πολύ καλά αποτελέσματα και μπορούν να επαναφέρουν τη φυσικότητα στο χαμόγελο.

Υφίζηση ούλων σε δύο γειτονικά δόντια που οφείλεται σε τραυματικό βούρτσισμα. Πολύ έντονη ευαισθησία σε θερμικά ερεθίσματα

Κάλυψη της υφίζησης ούλων με ουλικό μόσχευμα


2025 © Αλέξης Μπακόπουλος | Περιοδοντολόγος - Εμφυτευματολόγος. Powered by Ministry of Web.