Αλέξης Μπακόπουλος

Περιοδοντολόγος - Εμφυτευματολόγος

Ειδικευμένος στο University of Minnesota, ΗΠΑ
Διπλωματούχος του American Board of Periodontology





Αγίας Σοφίας 32
Θεσσαλονίκη 546 22
+30.2310.262.474
albako@otenet.gr

Εμφυτεύματα δοντιών


Τα εμφυτεύματα δοντιών αποτελούν μια επαναστατική εξέλιξη στο χώρο της οδοντιατρικής, καθώς προσφέρουν λύσεις σε προβλήματα έλλειψης δοντιών που παλιότερα απαιτούσαν αντιμετώπιση είτε με τρόχισμα γειτονικών δοντιών για την κατασκευή γέφυρας είτε με προσθετικές κατασκευές (μερικές ή ολικές οδοντοστοιχίες) που δεν είναι σταθερές μέσα στο στόμα και είναι πολύ συχνά ενοχλητικές και άβολες.

Είναι κατασκευασμένα από τιτάνιο, και έχουν σχήμα βίδας ώστε να μπορούν να τοποθετηθούν στη γνάθο και να αντικαταστήσουν τη ρίζα ενός δοντιού που έχει χαθεί. Το εσωτερικό του εμφυτεύματος είναι κενό, ώστε να μπορεί να υποδεχθεί ειδικά εξαρτήματα πάνω στα οποία θα κατασκευασθεί το δόντι. Το υλικό κατασκευής τους (τιτάνιο) είναι ένα εντελώς αδρανές μέταλλο, το οποίο είναι καλά αποδεκτό από τον οργανισμό.

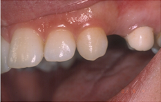
Απουσία του άνω πρώτου προγόμφιου

Το εμφύτευμα ετοιμάζεται για τοποθέτηση

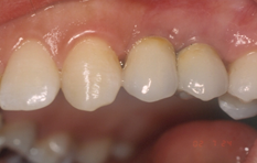
Τελική εικόνα με την τοποθέτηση της προσθετικής κατασκευής πάνω στο οστεο-ενσωματωμένο εμφύτευμα

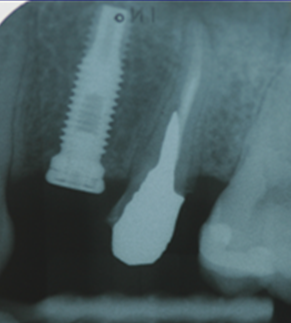
Ακτινογραφική εικόνα του εμφυτεύματος

Η διαδικασία αποκατάστασης μιας έλλειψης δοντιών με οδοντικά εμφυτεύματα έχει κάποια στάδια που πρέπει να ακολουθηθούν:

  1. Προεγχειρητικός έλεγχος: Καταρχήν γίνεται έλεγχος του ιατρικού ιστορικού, καθώς κάποια ιατρικά προβλήματα είναι πιθανό να μην επιτρέψουν την τοποθέτηση οδοντικών εμφυτευμάτων. Σε γενικές γραμμές οι περισσότεροι άνθρωποι μπορούν να δεχτούν επέμβαση τοποθέτησης εμφυτευμάτων, εκτός αν υπάρχει κάποιο ιατρικό πρόβλημα που απαγορεύει επεμβατικές διαδικασίες στο στόμα.

    Σε δεύτερη φάση αξιολογείται η κατάσταση της στοματικής υγείας. Προκειμένου να εξασφαλιστούν οι ιδανικές συνθήκες που απαιτούνται για την επιτυχία των εμφυτευμάτων, είναι απολύτως απαραίτητο τα υπόλοιπα δόντια να είναι σε καλή κατάσταση. Αυτό σημαίνει αντιμετώπιση των υπαρχόντων οδοντιατρικών προβλημάτων και ιδιαίτερα της υγείας των ούλων. Εφόσον υπάρχει περιοδοντίτιδα είναι απολύτως απαραίτητο να προηγηθεί ολοκληρωμένη θεραπεία περιοδοντίτιδας πριν ξεκινήσει η διαδικασία της εμφύτευσης.

    Εν συνεχεία γίνεται αξιολόγηση της επάρκειας οστού της γνάθου προκειμένου να δεχθεί τα οδοντικά εμφυτεύματα. Υπάρχει ανάγκη για επάρκεια οστού τόσο σε πλάτος (χρειάζονται τουλάχιστον 5-6 χιλιοστά), αλλά και σε ύψος (τουλάχιστον 9-10 χιλιοστά). Η διάγνωση θα βασιστεί σε κλινικές μετρήσεις και ακτινογραφικές απεικονίσεις, για το σωστό προγραμματισμό της επέμβασης. Εφόσον το οστούν κριθεί επαρκές, καθορίζονται στη συνέχεια ο αριθμός και η θέση των εμφυτευμάτων που θα τοποθετηθούν.


  2. Επέμβαση τοποθέτησης εμφυτευμάτων: Γίνεται υπό τοπική αναισθησία στο ιατρείο. Τα εμφυτεύματα τοποθετούνται στη γνάθο στις θέσεις που έχουν αποφασιστεί στον προεγχειρητικό έλεγχο. Θα ακολουθήσει ένα διαστημα αναμονής που κυμαίνεται από 2-6 μήνες. Στο διάστημα αυτό το τιτάνιο του εμφυτεύματος αλληλεπιδρά με το οστούν της γνάθου, καταλήγοντας σε μια πολύ ισχυρή σύνδεση μεταξύ τους, ικανή να αντέχει τις μασητικές δυνάμεις. Το φαινόμενο αυτό ονομάζεται οστεοενσωμάτωση και αποτελεί το βασικό στοιχείο της μακροχρόνιας επιτυχίας των εμφυτευμάτων.

  3. Έλεγχος επιτυχίας των εμφυτευμάτων: Μετά την πάροδο του διαστήματος αναμονής, γίνεται έλεγχος των εμφυτευμάτων, τόσο κλινικά όσο και ακτινογραφικά, ώστε να διαπιστωθεί ότι έχει ολοκληρωθεί η οστεοενσωμάτωση. Το εμφύτευμα θα πρέπει να είναι ακίνητο, και η παρουσία του να μην προκαλεί πόνο οποιασδήποτε μορφής στους γύρω ιστούς. Σύμφωνα με τις επιστημονικές έρευνες, τα ποσοστά επιτυχίας ανέρχονται στο 95-97%.

  4. Κατασκευή και τοποθέτηση δοντιών πάνω στα εμφυτεύματα: Εφόσον διαπιστωθεί επιτυχημένη οστεοενσωμάτωση, ξεκινά το τελικό στάδιο της διαδικασίας, που θα οδηγήσει στην αποκατάσταση της έλλειψης των δοντιών. Τοποθετούνται ειδικά εξαρτήματα στο εσωτερικό των εμφυτευμάτων και λαμβάνεται αποτύπωμα για την κατασκευή των αντίστοιχων στεφανών (κορώνες). Η ολοκλήρωση της διαδικασίας προσομοιάζει σε μεγάλο βαθμό τις διαδικασίες που χρησιμοποιούνται για την κατασκευή στεφανών σε φυσικά δόντια.

2025 © Αλέξης Μπακόπουλος | Περιοδοντολόγος - Εμφυτευματολόγος. Powered by Ministry of Web.